
2017年的尾聲,很多人的朋友圈都被18歲刷屏了,原來是90后的最后一波都即將進入18歲,邁入成年的行列,而00后即將接過這個傳力棒。
扎心的是90后雖然都成年了,但還掙扎在做汪的路上---實驗汪。
當然,人生是要有追求的,今日的汪非來日的汪,就連年份都翻篇了,汪們也該翻篇了,新的一年,我們立志不再做實驗汪,首先需要選擇高質量的抗體提升您的實驗效率。
Bethyl特色重組單抗產品數據展示
.
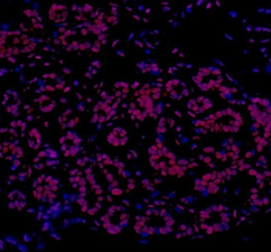
IHC-IF檢測人源PD-L1;
樣本:肺癌組織石蠟切片;
抗體:兔抗PD-L1重組單抗[BLR020E](貨號#A700-020)。
.
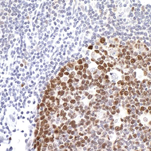
免疫組化檢測人源Ki-67;
樣本:扁桃體組織石蠟切片;
抗體:兔抗Ki-67重組單體[BLR021E]
(貨號#A700-021 lot1)1:250. DAB顯色。

.
IP/WB檢測人源磷酸化KAP-1(S824);
抗體:兔抗磷酸化KAP-1重組單抗 [BL-246-7B5](貨號#A700-013 lot1),同時IP對比了兔抗KAP-1重組單抗[BL-248-2G6](貨號#A700-014);
化學發光法檢測,曝光時間10秒。
.
.
免疫組化檢測人源FUS;
樣本:人乳房組織石蠟切片;
抗體:兔抗FUS重組單抗[BLR023E]
(貨號#A700-023 lot 1) 1:250。
.
.